The Bright Smile: Top 5 Durham Teeth Whitening Benefits
Durham teeth whitening has emerged as a popular cosmetic dental procedure, offering a range of benefits that extend far beyond just a brighter smile. In a world where first impressions matter, and self-confidence is key, the impact of a sparkling white smile cannot be overstated. This comprehensive guide explores the top 5 benefits of teeth whitening in Durham, NC, helping you understand how this simple procedure can significantly enhance your life, improve your oral health, and boost your overall well-being. From psychological impacts to practical advantages, discover why teeth whitening is a worthwhile investment for your smile and your confidence. Whether you’re considering in-office treatments or at-home kits, the advantages are clear: a dazzling smile awaits.
Boosting Confidence: The Psychological Impact
The psychological benefits of Durham teeth whitening are often the most immediate and impactful. A brighter, whiter smile can significantly boost self-esteem and confidence. When people feel good about their appearance, they tend to exude more confidence in social and professional settings. This increased self-assurance can positively affect various aspects of life, from personal relationships to career advancements. The ability to smile freely without self-consciousness transforms how individuals interact with the world, making them feel more approachable and open to new experiences. The transformation can be remarkable, providing a renewed sense of self-worth and a more positive outlook on life. Consider the radiant smiles you see, and recognize the inner confidence they project. This is the power of a brighter smile.
Smiling More: Increased Self-Esteem

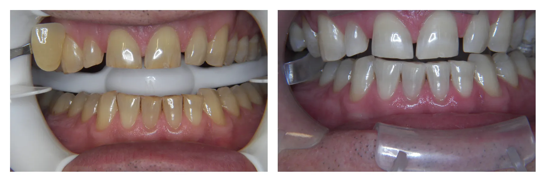
Increased self-esteem is a direct result of feeling good about one’s appearance. When individuals are satisfied with their smile, they are more likely to smile more often and more genuinely. This simple act of smiling has a cascade effect, as it can enhance mood, reduce stress, and even increase longevity. A brighter smile can also make individuals feel more attractive, which can lead to greater confidence in social situations. The positive feedback from others who notice the improved appearance reinforces these feelings of self-worth, creating a virtuous cycle of positivity. This improved self-esteem contributes to overall well-being and enhances one’s ability to navigate life with greater confidence and joy. The before and after photos showcase remarkable changes.
Social Interactions and Relationships
A bright, white smile significantly improves social interactions and relationships. Smiling is a universal sign of friendliness and approachability, making individuals appear more welcoming and engaging. People with whiter teeth often find that they are more comfortable in social settings, leading to more meaningful connections and improved communication. This increased confidence can help individuals make better first impressions, strengthening both personal and professional relationships. Whether it’s meeting new people or strengthening existing bonds, a brighter smile can create a positive and lasting impact. It enhances your overall ability to connect with others, creating more fulfilling relationships and enriching your social life. Imagine the ease with which you can engage in conversations, knowing you’re putting your best face forward.
Improving Oral Health: Beyond Aesthetics
While the aesthetic benefits of Durham teeth whitening are readily apparent, the procedure can also contribute to improved oral health. Addressing discoloration and stains often encourages patients to take better care of their teeth and gums, leading to a healthier mouth overall. Routine dental check-ups and proper oral hygiene habits are essential for maintaining the results of teeth whitening and preserving the health of your teeth. The process of whitening often involves a professional cleaning, which removes plaque and tartar, setting the stage for a healthier oral environment. This heightened awareness of oral care can lead to a reduction in cavities, gum disease, and other dental problems. A commitment to oral health is an investment in a lifetime of bright smiles and overall well-being. Consider the prevention of dental issues that come with a better oral health routine.
Removing Stains and Discoloration

Teeth whitening is highly effective in removing stains and discoloration caused by various factors, including aging, diet, and lifestyle habits. Foods and beverages like coffee, tea, and red wine are common culprits that can stain teeth over time. Smoking and certain medications can also contribute to discoloration. The whitening process uses bleaching agents to penetrate the enamel, breaking down the stain-causing molecules and restoring the natural whiteness of the teeth. Whether it’s an in-office treatment or an at-home kit, the process effectively addresses superficial and deep-seated stains, providing a brighter and more youthful appearance. The result is a noticeable improvement in the overall appearance of the teeth, giving you a more vibrant smile.
Preventing Future Issues
Teeth whitening can indirectly contribute to preventing future oral health issues. By prompting individuals to adopt better oral hygiene practices, such as brushing, flossing, and regular dental check-ups, the likelihood of developing cavities, gum disease, and other dental problems is reduced. Maintaining a healthy diet and avoiding substances known to stain teeth also play a significant role. The focus on oral care fostered by teeth whitening helps to maintain a healthy mouth, minimizing the need for more extensive and costly dental treatments down the road. This proactive approach to oral health not only enhances the appearance of your teeth but also safeguards your overall health. Prevention is always better than cure, and a bright smile is a great incentive.
Enhancing Professional Opportunities
In today’s competitive professional landscape, a bright and confident smile can be a significant asset. A well-maintained smile projects an image of health, professionalism, and attention to detail. This can be especially advantageous in jobs that involve frequent interaction with the public, such as sales, customer service, and management. Individuals with whiter teeth often appear more trustworthy and approachable, which can improve their ability to build rapport with clients and colleagues. First impressions are crucial, and a bright smile can give you the edge you need to make a lasting positive impact. In many professional settings, a radiant smile is not just about aesthetics; it’s about projecting confidence and competence, which can significantly enhance your career prospects. Imagine the possibilities when you approach a job interview or important meeting with a dazzling smile.
Making a Great First Impression

The impact of a great first impression cannot be overstated. Within seconds of meeting someone, individuals form opinions based on appearance and body language. A bright, white smile immediately conveys confidence, health, and approachability. This positive first impression can open doors in both personal and professional settings, allowing you to build rapport quickly and establish trust. Whether it’s a job interview, a networking event, or a social gathering, a dazzling smile makes you more memorable and creates a positive association with you. In a world where first impressions can shape future interactions, teeth whitening offers a simple yet effective way to make a lasting positive impact. A confident smile invites others to connect with you.
Projecting a Healthy Image
A bright smile is often associated with good health and vitality. People tend to perceive individuals with whiter teeth as being healthier, more energetic, and more attentive to their personal care. This perception can be particularly valuable in social and professional settings, where projecting a positive and healthy image is important. A healthy smile suggests an overall commitment to well-being, including proper oral hygiene and regular dental care. The association between a bright smile and good health is a powerful one, making it an invaluable asset in various aspects of life. The investment in teeth whitening is also an investment in projecting a healthy, confident image, which can have far-reaching benefits.
Convenient and Accessible Treatments
Durham teeth whitening offers a range of convenient and accessible treatment options to suit various lifestyles and budgets. From in-office professional whitening sessions to at-home kits, the options are designed to be flexible and effective. The accessibility of these treatments makes it easy to achieve a brighter smile without significant disruption to your daily routine. Professional treatments offer immediate results with the guidance of a dentist, while at-home kits provide a more cost-effective and convenient alternative. The availability of various options ensures that you can find the perfect teeth whitening solution that aligns with your personal preferences and schedule. The ease of access has made a brighter smile achievable for more people than ever before, a testament to its convenience and practicality.
In-Office Whitening Options

In-office teeth whitening in Durham, NC, provides the most rapid and effective results. A professional whitening treatment involves the application of a high-concentration bleaching agent under the supervision of a dentist. The procedure typically takes about an hour and can significantly lighten your teeth in a single session. The dentist uses specialized equipment and techniques to ensure the safety and efficacy of the treatment, providing a controlled environment for optimal results. The advantage of in-office whitening is the immediate and dramatic improvement in the brightness of your teeth. The expertise of a dental professional and the use of advanced techniques can lead to results that are difficult to achieve with at-home methods. Consider the convenience and efficiency, allowing you to achieve a dazzling smile in a single visit, with professional supervision.
At-Home Whitening Kits
At-home teeth whitening kits offer a convenient and cost-effective alternative for achieving a brighter smile. These kits typically include custom-fitted trays and a bleaching gel, allowing you to whiten your teeth from the comfort of your home. While the results may take longer to appear compared to in-office treatments, at-home kits provide a flexible and affordable option. Dentists often recommend and prescribe these kits, ensuring the effectiveness and safety of the treatment. At-home kits allow you to whiten your teeth at your own pace, accommodating your busy schedule. The ease of use and affordability make them a popular choice for many individuals looking to improve their smile. Proper use and adherence to instructions are important for achieving the desired results, leading to a whiter, more confident smile.
Cost-Effectiveness and Long-Term Value
Teeth whitening offers excellent cost-effectiveness and provides long-term value. While the initial investment in teeth whitening treatments may vary, the benefits often outweigh the cost. The improved confidence, enhanced professional opportunities, and better oral health contribute to a higher quality of life, making it a worthwhile investment. When comparing the cost of teeth whitening to other cosmetic procedures, it is a relatively affordable option with significant results. The long-term value comes from the positive impact on your overall well-being, social interactions, and professional success. A bright smile is an investment in your self-esteem, image, and long-term health, providing substantial value over time. The before and after images highlight the value.
Comparing Whitening Costs

The cost of teeth whitening in Durham, NC, varies depending on the treatment option chosen, such as in-office treatments or at-home kits. In-office treatments generally have a higher upfront cost due to the professional services and advanced equipment. At-home kits, on the other hand, are typically more affordable. When comparing costs, it’s important to consider the long-term benefits and the value of the investment. While the initial cost of in-office treatments may be higher, the results are often more immediate and dramatic. At-home kits offer a more budget-friendly option, but they require consistent use and may take longer to achieve the desired results. The investment in teeth whitening should be viewed as an investment in your confidence, image, and overall well-being. Knowing the costs upfront can help you to make the best choice, and see what’s right for you.
Maintaining Results
Maintaining the results of Durham teeth whitening requires a proactive approach. Proper oral hygiene, including regular brushing, flossing, and dental check-ups, is essential to preserve the whiteness of your teeth. Avoiding or limiting consumption of staining foods and beverages, such as coffee, tea, red wine, and dark-colored berries, can also help to maintain your bright smile. Regular touch-up treatments, as recommended by your dentist, can help to combat any gradual discoloration that may occur over time. By following these guidelines, you can enjoy the benefits of your teeth whitening for years to come. The key is to prioritize oral health, leading to a lasting, vibrant smile. Taking care of your teeth will ensure the results of your teeth whitening will last, boosting your confidence!
In conclusion, Durham teeth whitening offers a wealth of benefits that extend far beyond a brighter smile. From boosting confidence and improving oral health to enhancing professional opportunities and providing accessible treatments, the advantages are clear. Whether you opt for in-office whitening or at-home kits, teeth whitening is a worthwhile investment in your overall well-being. The ability to smile confidently and project a healthy, vibrant image can significantly enhance your quality of life. Consider the transformative power of a brighter smile and take the first step toward a more confident, radiant you. The results will shine brightly, helping you to create the best version of yourself!
